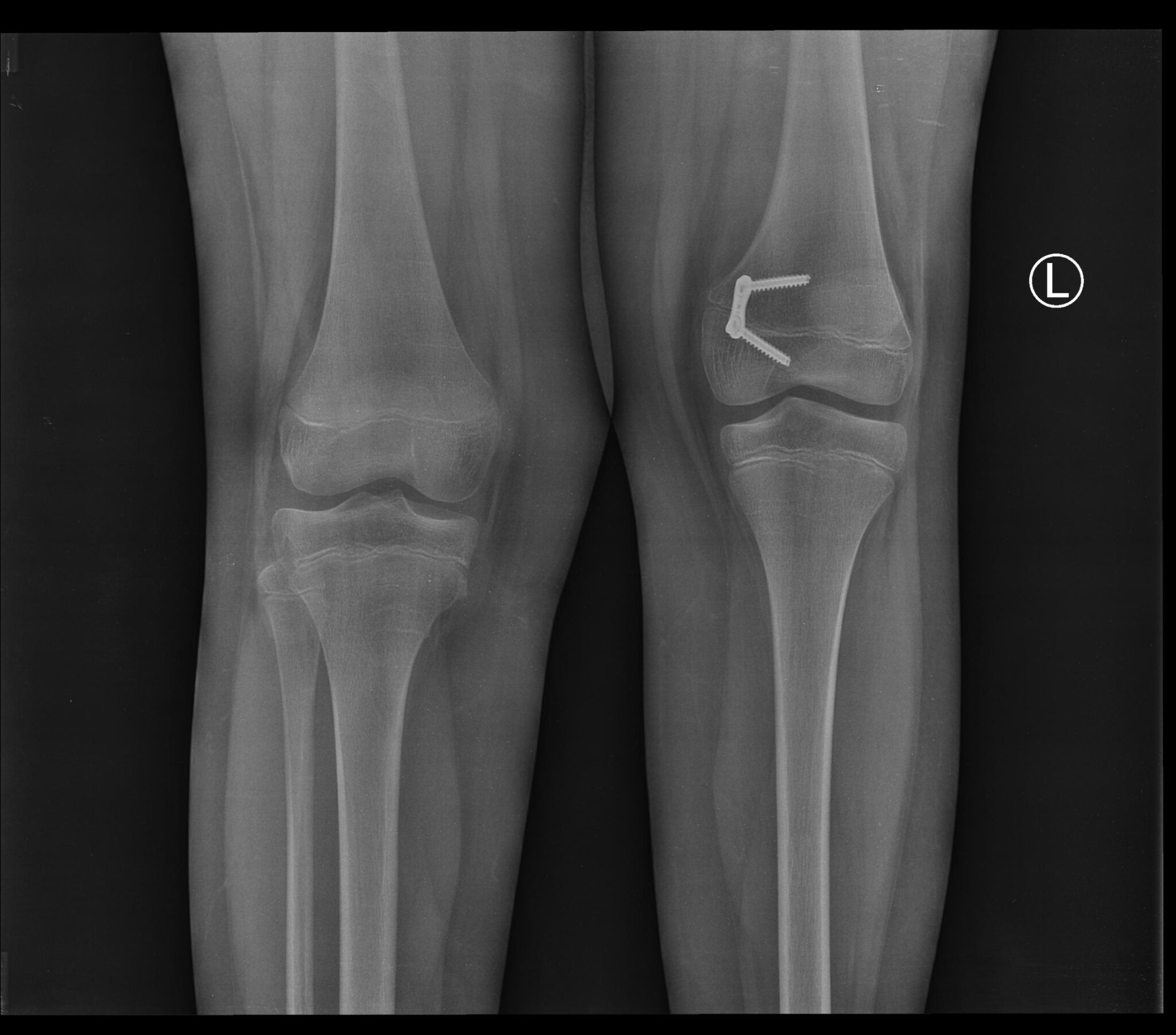
Nasz syn Mateusz urodził się 23 sierpnia 2009 roku jako zdrowy chłopiec. Po porodzie, ani wcześniej w czasie ciąży, nic nie wskazywało na późniejsze problemy zdrowotne. Jednak gdy synek zaczął stawać – robił to na paluszkach lewej nogi. Po wykonanych badaniach RTG okazało się, że Mateusz nie ma kości strzałkowej lewej, skrócenie piszczeli oraz kości udowej.
Po diagnozie szukaliśmy specjalistów, którzy pomogą nam w tej sytuacji. Trafiliśmy do szpitala w Łodzi, gdzie synek miał wykonane cztery operacje. Niestety nie poprawiły one stanu zdrowia dziecka, a wręcz uszkodziły lewą nogę. Przysporzyły jedynie dziecku cierpienia i naraziły na traumę.
Postanowiliśmy szukać pomocy u innych lekarzy. W 2018 roku trafiliśmy do Paley Institute w Warszawie, gdzie po badaniu okazało się, że Mateusz ma lewą nogę krótszą od prawej o 5 centymetrów. 25 kwietnia 2019 roku syn przeszedł pierwszą udaną operację, której koszt pokryliśmy ze środków własnych, a która miała na celu przygotowanie nogi syna do wydłużenia.
Syn będzie potrzebował kolejnej operacji i dalszego specjalistycznego leczenia. Koszty są ogromne i nie jesteśmy już w stanie sprostać im samodzielnie. Z całego serca prosimy więc o pomoc!
Za każde wsparcie oraz poświęcony czas z serca dziękujemy! Rodzice Mateusza.
Numer 75142
Treść JESTEM 1658
Koszt 6,15PLN brutto (w tym VAT)
Dla przelewów krajowych:
Fundacja "Serca dla Maluszka"
ul. Kowalska 89 m.1
43-300 Bielsko-Biała
Bank Millennium S.A.
85 1160 2202 0000 0001 9214 1142
Dla przelewów zagranicznych:
Fundacja "Serca dla Maluszka"
PL 85 1160 2202 0000 0001 9214 1142
Bank Millennium S.A.
ul. Stanisława Żaryna 2 A
02-593 Warszawa, POLAND
Kod SWIFT banku: BIGBPLPW
Dla przelewów w EUR:
Fundacja "Serca dla Maluszka"
PL 34 1160 2202 0000 0005 0784 0588
Bank Millennium S.A.
ul. Stanisława Żaryna 2 A
02-593 Warszawa, POLAND
Kod SWIFT banku: BIGBPLPW
Kraj banku odbiorcy: Poland
Dla przelewów w USD:
Fundacja "Serca dla Maluszka"
PL 96 1160 2202 0000 0005 0784 1218
Bank Millennium S.A.
ul. Stanisława Żaryna 2 A
02-593 Warszawa, POLAND
Kod SWIFT banku: BIGBPLPW
Kraj banku odbiorcy: Poland
W rozliczeniu PIT wpisz numer KRS Fundacji „Serca dla Maluszka”: 0000387207,
z dopiskiem w rubryce cel szczegółowy „1658 Mateusz Łyszkowski”.
Numer 75142
Treść JESTEM 1658
Koszt 6,15PLN brutto (w tym VAT)