Pomiń linki nawigacyjne i przejdź do treści strony
KRS: 0000387207

Aleksandra Olszewska

Wpłać darowiznę

Apel

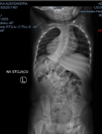
Aleksandra urodziła się w 2018 roku z zespołem wad wrodzonych, wadą serca (Zespół Ebsteina, ubytek międzykomorowy, ubytek międzyprzedsionkowy), hipoplazją lewej nerki, która pracuje w 30%, wadą rączki (rączka jest krótsza w ramieniu, przedramieniu, brak kości promieniowej, palca i kciuka) oraz ciężką skoliozą. Obecnie na chorobę serduszka Ola bierze leki, w przyszłości będzie musiała zostać wymieniona w nim zastawka trójdzielna, nereczki są pod stałą kontrolą lekarską. Za to skolioza jest na tyle ciężka, że wymaga pilnej operacji. Niestety nie każdy ośrodek w Polsce (a zwiedziliśmy ich naprawdę dużo) ma możliwość zoperowania naszej córki, z tego względu, że jest potrzebne zaplecze kardiologiczne. Lekarze boją się, że mogą wystąpić komplikacje. Udało nam się znaleźć szpital, w którym jest takie zaplecze, jednak termin operacji jest odległy. Musimy cierpliwie czekać.

Nie poddajemy się, Ola od 3 lat dzielnie przez 22 godziny dziennie nosi gorset Cheneau. Nie wyleczy on skoliozy, która ma 70 stopni, jednak daje nam szansę na to, żeby nie było większego pogorszenia, do tego dwa razy w tygodniu ćwiczy pod okiem rehabilitanta i codziennie w domu.

Korzystamy również z turnusów, terapii ręki, logopedy, terapii si, załatwiamy wizyty specjalistyczne (byle by termin był szybki) niestety to wszystko kosztuje, a nas nie zawsze jest na to stać. Nie możemy dopuścić, aby przez ucisk kręgosłupa, Olusia miała problem z oddychaniem czy chodzeniem, dlatego gorąco prosimy o pomoc i dziękujemy za nawet najmniejsze gesty serca.

Wdzięczni rodzice Olusi.

Zebrane środki są wydatkowane zgodnie z regulaminem Fundacji, z przeznaczeniem na poprawę stanu zdrowia oraz warunków bytowych Podopiecznego.

Przekaż darowiznę przelewem

Pamiętaj! Dokonując darowizny możesz odliczyć ją od podatku, wystarczy potwierdzenie przelewu.
W tytule przelewu prosimy wpisać:
825 Aleksandra Olszewska

Dla przelewów krajowych:
Fundacja "Serca dla Maluszka"
ul. Kowalska 89 m.1
43-300 Bielsko-Biała
Bank Millennium S.A.
85 1160 2202 0000 0001 9214 1142

Dla przelewów zagranicznych:
Fundacja "Serca dla Maluszka"
PL 85 1160 2202 0000 0001 9214 1142
Bank Millennium S.A.
ul. Stanisława Żaryna 2 A
02-593 Warszawa, POLAND
Kod SWIFT banku: BIGBPLPW

Dla przelewów w EUR:
Fundacja "Serca dla Maluszka"
PL 34 1160 2202 0000 0005 0784 0588
Bank Millennium S.A.
ul. Stanisława Żaryna 2 A
02-593 Warszawa, POLAND
Kod SWIFT banku: BIGBPLPW
Kraj banku odbiorcy: Poland

Dla przelewów w USD:
Fundacja "Serca dla Maluszka"
PL 96 1160 2202 0000 0005 0784 1218
Bank Millennium S.A.
ul. Stanisława Żaryna 2 A
02-593 Warszawa, POLAND
Kod SWIFT banku: BIGBPLPW
Kraj banku odbiorcy: Poland

Przekaż 1,5% podatku

W rozliczeniu PIT wpisz numer KRS Fundacji „Serca dla Maluszka”: 0000387207,
z dopiskiem w rubryce cel szczegółowy „825 Aleksandra Olszewska”.

Galeria zdjęć

Wpłać wysyłając SMS

Numer 75142

Treść JESTEM 825

Koszt 6,15PLN brutto (w tym VAT)