Pomiń linki nawigacyjne i przejdź do treści strony
KRS: 0000387207

Agnieszka Kudyra

Wpłać darowiznę

Apel

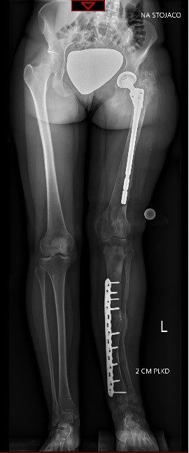
Jestem w trakcie kilkuetapowego leczenia w Paley European Institute. Przeszłam 18 operacji ortopedycznych.

Choruję na dysplazję włóknistą. Jest to rzadka choroba rozrostowa kości. Na tle wszystkich łagodnych nowotworów kości, stanowi około 7 procent spośród nich.

Zwracam się do Państwa pełna nadziei o pomoc w gromadzeniu funduszy na dalsze leczenie oraz rehabilitacje po przebytych operacjach. To moja szansa na poprawę zdrowia, dlatego za każdą pomoc kieruję do Państwa ogromne wyrazy wdzięczności.

Agnieszka.

Zebrane środki są wydatkowane zgodnie z regulaminem Fundacji, z przeznaczeniem na poprawę stanu zdrowia oraz warunków bytowych Podopiecznego.

Przekaż darowiznę przelewem

Pamiętaj! Dokonując darowizny możesz odliczyć ją od podatku, wystarczy potwierdzenie przelewu.
W tytule przelewu prosimy wpisać:
509 Agnieszka Kudyra

Dla przelewów krajowych:
Fundacja "Serca dla Maluszka"
ul. Kowalska 89 m.1
43-300 Bielsko-Biała
Bank Millennium S.A.
85 1160 2202 0000 0001 9214 1142

Dla przelewów zagranicznych:
Fundacja "Serca dla Maluszka"
PL 85 1160 2202 0000 0001 9214 1142
Bank Millennium S.A.
ul. Stanisława Żaryna 2 A
02-593 Warszawa, POLAND
Kod SWIFT banku: BIGBPLPW

Dla przelewów w EUR:
Fundacja "Serca dla Maluszka"
PL 34 1160 2202 0000 0005 0784 0588
Bank Millennium S.A.
ul. Stanisława Żaryna 2 A
02-593 Warszawa, POLAND
Kod SWIFT banku: BIGBPLPW
Kraj banku odbiorcy: Poland

Dla przelewów w USD:
Fundacja "Serca dla Maluszka"
PL 96 1160 2202 0000 0005 0784 1218
Bank Millennium S.A.
ul. Stanisława Żaryna 2 A
02-593 Warszawa, POLAND
Kod SWIFT banku: BIGBPLPW
Kraj banku odbiorcy: Poland

Przekaż 1,5% podatku

W rozliczeniu PIT wpisz numer KRS Fundacji „Serca dla Maluszka”: 0000387207,
z dopiskiem w rubryce cel szczegółowy „509 Agnieszka Kudyra”.

Galeria zdjęć

Wpłać wysyłając SMS

Numer 75142

Treść JESTEM 509

Koszt 6,15PLN brutto (w tym VAT)