Pomiń linki nawigacyjne i przejdź do treści strony
KRS: 0000387207

Jan Skwarko

Wpłać darowiznę

Apel

Jasiu urodził się 22 marca 2022 roku przez cesarskie cięcie. W 20 tygodniu ciąży dowiedzieliśmy się, że Jasiu ma wodonercze i to była jedyna informacja, która wtedy otrzymaliśmy. Koszmar zaczął się po urodzeniu synka… Od razu po porodzie został zabrany do inkubatora na kilka dni, gdzie dostawał tlen, ponieważ nie utrzymywał ciepłoty ciała. Synka zobaczyłam na kilka sekund… Dostałam informację, że Jasiu ma wadę serca VSD okołobłoniaste oraz wodonercze i konieczna jest operacja na zwężenie miedniczkowo-moczowodowe nerki prawej.

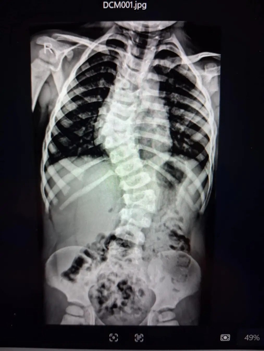
W wieku 7 miesięcy Jasiu miał tę operację, a teraz cały czas jest pod kontrolą Uniwersyteckiego Centrum Klinicznego w Gdańsku. Od maja 2023 roku Jasiu zaczął nosić aparaty słuchowe oraz zaczął uczęszczać na terapię słuchu, gdyż badania ABR potencjałów słuchowych wykazały obustronny niedosłuch na poziomie umiarkowanym. Gdy Jasiu skończył roczek i zaczął chodzić, okazało się, że ma wadę kręgosłupa (ma trzy półkręgi w kręgosłupie), co się wiąże z tym, że jego kręgosłup przy każdym skoku wzrostowym wykrzywia się i powoduje coraz większą skoliozę. Regularna rehabilitacja, to przygotowanie go na operację i jedyna szansa powstrzymania postępowania skrzywienia kręgosłupa. Od urodzenia Jasiu jest rehabilitowany metodą NDT Bobath i metodą Vojty z powodu obniżonego napięcia mięśniowego oraz asymetrii ułożeniowej. Jest także pod stałą opieką wielospecjalistyczną: kardiologiczną, neurologiczną, nefrologiczną, audiologiczną, ortopedyczną, laryngologiczną, psychologiczną, fizjoterapeutyczną oraz surdopedagogiczną. Kontrolujemy Jasia także w poradni genetycznej, aby dokładnie zlokalizować źródło jego problemów.

Jasiu jest po zabiegu na uszy, ma założone dreny. Nastąpiła poprawa słuchu synka i walczymy dalej, by było jeszcze lepiej. Czekamy na termin pierwszej operacji kręgosłupa.

Bardzo prosimy o wsparcie naszego synka w tej trudnej dla niego drodze. Marzymy, by tak jak inne dzieci mógł uczęszczać do przedszkola i bez bólu iść przez życie. Jest bardzo pogodnym chłopcem z siłą do walki o lepsze jutro. Wierzymy, że łącząc siły, uda nam się tę walkę wygrać!

Bardzo dziękujemy,
Rodzice i siostra Jasia

Przekaż darowiznę przelewem

Pamiętaj! Dokonując darowizny możesz odliczyć ją od podatku, wystarczy potwierdzenie przelewu.
W tytule przelewu prosimy wpisać:
4520 Jan Skwarko

Dla przelewów krajowych:
Fundacja "Serca dla Maluszka"
ul. Kowalska 89 m.1
43-300 Bielsko-Biała
Bank Millennium S.A.
85 1160 2202 0000 0001 9214 1142

Dla przelewów zagranicznych:
Fundacja "Serca dla Maluszka"
PL 85 1160 2202 0000 0001 9214 1142
Bank Millennium S.A.
ul. Stanisława Żaryna 2 A
02-593 Warszawa, POLAND
Kod SWIFT banku: BIGBPLPW

Dla przelewów w EUR:
Fundacja "Serca dla Maluszka"
PL 34 1160 2202 0000 0005 0784 0588
Bank Millennium S.A.
ul. Stanisława Żaryna 2 A
02-593 Warszawa, POLAND
Kod SWIFT banku: BIGBPLPW
Kraj banku odbiorcy: Poland

Dla przelewów w USD:
Fundacja "Serca dla Maluszka"
PL 96 1160 2202 0000 0005 0784 1218
Bank Millennium S.A.
ul. Stanisława Żaryna 2 A
02-593 Warszawa, POLAND
Kod SWIFT banku: BIGBPLPW
Kraj banku odbiorcy: Poland

Przekaż 1,5% podatku

W rozliczeniu PIT wpisz numer KRS Fundacji „Serca dla Maluszka”: 0000387207,
z dopiskiem w rubryce cel szczegółowy „4520 Jan Skwarko”.

Galeria zdjęć

Wpłać wysyłając SMS

Numer 75142

Treść JESTEM 4520

Koszt 6,15PLN brutto (w tym VAT)

Informacja o zamknięciu biura Fundacji

📢 Ważna informacja!

Uprzejmie informujemy, że z uwagi na przerwę świąteczną, biuro Fundacji będzie zamknięte od 24 grudnia 2025 r. do 1 stycznia 2026 r.

Z okazji nadchodzących Świąt Bożego Narodzenia życzymy Wam dużo ciepła, spokoju, pięknych rodzinnych chwil oraz odpoczynku, na który wszyscy zasługujecie.
Niech Nowy Rok obdarzy Was zdrowiem, spokojem i wieloma pięknymi chwilami, które dodadzą siły i nadziei.